Back to: Paediatrics
Knee Conditions
Chondromalacia patellae (CMP)
This is a condition which leads to inflammation on the articular cartilage of the patella, which is more commonly seen in adolescent girls
– The cartilage under the patella starts to deteriorate and breakdown becoming rough
– This leads to friction when the child moves which can give pain and discomfort on movement
– It can be caused from an acute injury to knee, or chronic friction between patella and groove in the femur.
Symptoms:
– Pain at the front on the knee during sports e.g., football, rowing, tennis
– Pain is worse after a period of prolonged sitting
Diagnosis:
– Clinical Diagnosis
– MRI if diagnostic doubt helps to observe damage to the cartilage
Management:
RICE (rest, ice, compression, elevation) anti-inflammatories, and physiotherapy
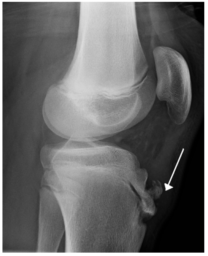
Osgood-Schlatter Disease
This is a condition which is also known as tibial apophysitis
– It is due to osteochondritis (inflammation) at the patella tendon insertion of the knee, due to repeated tension on the growth plate of the upper tibia
– It is characterised by a painful bump just below the knee that gets worse with activity
– It is commonly seen in sporty teenage boys
Risk factors:
– Overuse, sports involving frequent running and jumping

Symptoms:
– Pain over the lower anterior aspect of the knee which improves with rest
– Knee pain is exacerbated by exercise (especially high impact sports)
– Pain is reproduced by extending the knee against resistance
– Tenderness and swelling over the tibial tuberosity
Diagnosis:
Clinical Diagnosis
Management:
– RICE (rest, ice, compression, elevation) anti-inflammatories, and physiotherapy
– If very severe, surgery may be required
Osteochondritis Dissecans
This is a condition in which cracks forms in the articular cartilage and underlying bone of the knee, which is usually seen in very active teenagers.
– It is due to avascular necrosis of the subchondral bone due to blood deprivation of an unknown cause
– The bone is then reabsorbed by the body, leaving the cartilage predisposed to further damage and fragmentation
– It differs from osteoarthritis which is a problem of the articular surface. Here, the problem is in the bone behind the cartilage which then impacts the cartilage on top.
Symptoms:
– Pain after exercise with a crackling sound on joint movement
– Intermittent swelling and locking
– If left untreated, can lead to an effusion

Diagnosis:
– Imaging (X-Ray, MRI) is used to show necrosis of the bone
Management:
– Physiotherapy
– If severe, it may require surgery
Patellar Dislocation
This refers to movement of the patella out of the patella groove
– It usually occurs when the knee is straight and then the lower leg is bent outwards when twisting, usually whilst playing sports like football.
– It is more likely to sublax laterally as the pull of vastus lateralis is stronger than that of vastus medialis.
– If the dislocation is partial, this is referred to a subluxation of the patella. This is more common than dislocation but just as disabling
Symptoms:
– Pain “inside the kneecap”
– Visible subluxation of the patella laterally
– If ligaments are damaged, may be unable to flex the knee
– Medial knee pain (due to lateral subluxation)
– Feeling of instability/giving way of the knee
Management:
– Physiotherapy
– May need surgery (to realign the pull of the quadriceps on the patellar tendon)
Sources
Image 1: James Heilman, MD, CC BY-SA 3.0 <https://creativecommons.org/licenses/by-sa/3.0>, via Wikimedia Commons


