Clinical Case

Clinical Case

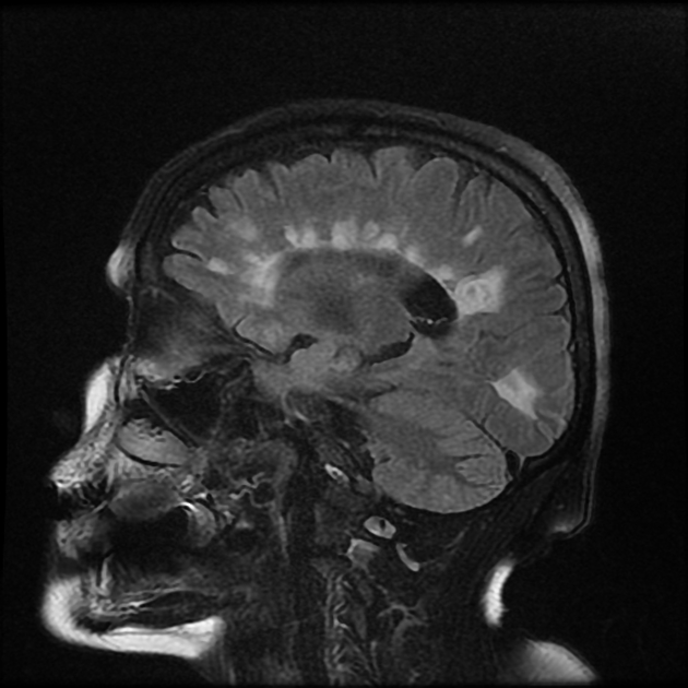
Clinical Case Challenge   Dear Friend, This week, I wanted to do something different. Every week, you guys read this newsletter and my experiences of medicine, work and life in general. This week, I wanted to put you guys to a little test with a clinical case....
Learning a musical instrument

Learning a musical instrument

Learning a musical instrument   Dear Friend, Hope you had have a good week. This week for me is more reminiscent of my IMT days, as I am currently on day 7 out of a 8-day consecutive stretch, which has incorporated a mix of long days, night shift (albeit...

Sign up to get my free OSCE summaries book!