Back to: Paediatrics
Bone Tumours
Bone tumours occur due to an abnormal proliferation of bone cells, and these can be either benign or malignant.
– One of the most common symptoms that bone cancers produce is bone pain. However, this is a very ambiguous symptoms as bone pain can be poorly localised and due to many differentials.
– Therefore, it is important to look out for particular red flags which may indicate bone cancer.
Red Flag Symptoms
– Bone pain that is worse at night or wakes you up from sleep
– Inability to weight bear
– Pain that is not resolving with medication
– Pathological fractures
– Anaemia
– Weight loss
Guidelines:
– For unexplained bone pain/swelling in children and young people –> urgent X-ray within 48 hours
– If results suggest sarcoma –> referral to specialist within 2 weeks (for adults) and 2 days (for children)
Osteosarcoma
This is a malignant proliferation of primitive cells that differentiate into osteoblasts
– It is the most common primary malignant bone cancer
– It is usually seen in children and young adolescents, and occurs towards the ends of the long bones (usually legs)
– It is associated with mutations of the Rb gene; hence, it is sometimes seen in children with a positive medical history of retinoblastoma earlier in life
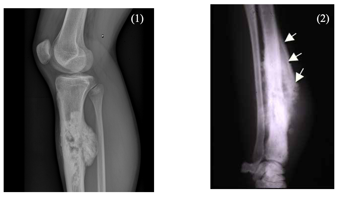
Radiological Findings
As osteoblasts are bone-producing this gives a sclerotic pattern on disease.
– Initially the cancer lays down new bone which gives a whiter appearance on x-ray
– As the tumour grows is pushes the periosteum out the side of the bone. The displaced periosteum attempts to regenerate underlying bone
– This is known as a periosteal reaction.
– This produces a distinctive finding on X-ray known as Codman triangle
In a fast growing, aggressive sarcoma, the periosteum does not have enough time to lay down a new layer and instead Sharpey’s fibres on bone stretch out perpendicular to the bone.
– This leads to what is called a spiculated mass/sunburst pattern
– It is important to look out for these features on imaging.

Symptoms:
– Red flags symptoms (e.g. one pain that is worse at night or wakes you up from sleep)
Tests:
– X-Ray shows a sclerotic pattern of disease
– CT/MRI
– Bone biopsy to look at histology
Management:
Surgical en bloc resection of tumour with adjuvant chemotherapy
Ewing Sarcoma
This is a malignant proliferation of primitive cells which is seen in children and adolescents
– Unlike the osteosarcoma, this usually gives tumours in the middle of the long bones and pelvis
– It is due to a chromosome translocation between 11–> 22 affecting the EWSR1 gene
– It metastasises very quickly, and many patients diagnoses already have metastases
Unlike osteosarcoma, the tumour gives lytic (destroying bone lesions) which appear more lucent on x-ray
– X-rays show an onion skin appearance.
– If there a multiple lytic bone lesions, this produces a “moth eaten” pattern of disease
– Similar to the osteosarcoma, the inflammation also produces a periosteal reaction which may give rise to the Codman triangle finding on X-ray
Symptoms:
Red flag symptoms (e.g., one pain that is worse at night or wakes you up from sleep)
Tests:
– X-Ray shows a lytic pattern of disease
– CT/MRI
– Bone biopsy –> shows small blue round cell tumour which stains positive for CD99
Management:
Chemotherapy with surgery/radiotherapy

Osteoid osteoma
This is a type of benign tumour which grows on bone and usually affects adolescents (especially boys)
– It typically involves the spine, femur or tibia giving rise to bone pain
– Osteomas themselves (a benign tumour made of bone) represent the most common benign neoplasm of the nose and paranasal sinuses
Symptoms:
– Bone pain that is more severe at night with localised tenderness and swelling
Tests:
X-Ray shows sharp demarcated radiolucent (black) focus of osteoid tissue surrounded by sclerotic bone
Management:
Surgical Removal (amputation)
Sources
Image 1: Yousef Samir, CC BY-SA 4.0 , via Wikimedia Commons
Image 2: User:Ajimsha619, CC BY-SA 3.0 , via Wikimedia Commons
Image 3: Michael Richardson, M.D. on Oct 25th, 2004; Upload by Christaras A, CC BY-SA 3.0 , via Wikimedia Commons

