Back to: Infectious Diseases
Fungal Infections
Pneumocystis Jirovecci
This is a fungal infection that is seen in immunocompromised patients.
It is an AIDS-defining disease, typically causing a pneumonia in HIV positive patients.
Symptoms
Atypical pneumonia (SOB, dry cough, fever) but very few chest signs
The classic symptom is desaturation of SpO2 during exercise/exertion
Can lead to secondary pneumothorax, hepatosplenomegaly and lymphadenopathy
Key tests
Blood tests show raised inflammatory markers and fungal markers (beta-glucan)
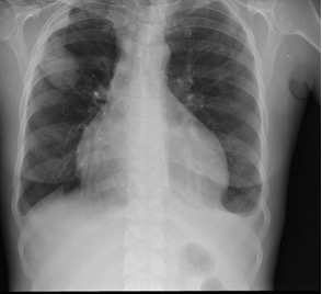
CXR/HRCT shows bilateral interstitial pulmonary opacifications
Sputum culture – this can be taken directly or from bronchoalveolar lavage if needed
Lung biopsy may be required if diagnostic doubt
Management
Co-trimoxazole is used first line. If not suitable, can use pentamidine
Co-trimoxazole prophylaxis is recommended in immunocompromised patients, e.g., HIV patients with CD4 count < 200/mm3 and post-transplant patients
Cryptococcus Neoformans
This is a yeast found in bird droppings which can infect the central nervous system.
It is a systemic opportunist which typically causes infections in immunocompromised patients as well as IV drug users.
A classic presentation is meningitis in AIDS patients with CD4 count < 100 cells/mm3
Symptoms
Meningitis (fever, headache, seizure, vomiting)
Focal neurological deficit
Key tests
CT head shows circular lesions and cerebral oedema
Lumbar puncture – CSF has high opening pressure, India ink test positive
CSF shows raised lymphocytes, low neutrophils, raised protein, low glucose
Management
Antifungals e.g., amphotericin and flucytosine
Aspergillus Fumigatus
This is a mould which affects the lungs both directly and indirectly.
It is a systemic opportunist and so typically affects those who are immunocompromised or more susceptible to infection.
It can contribute to the development of illnesses like asthma and Extrinsic Allergic Alveolitis
However, in immunocompromised people, it can also cause direct pathologies:
Allergic Bronchopulmonary Aspergillosis (ABPA)
Aspergillus fumigatus causes type I and III hypersensitivity reactions and is particularly seen in people with asthma and cystic fibrosis.
The hypersensitivity reactions cause bronchoconstriction (giving asthma symptoms) and potentially even permanent damage (causing bronchiectasis).
Symptoms
Wheeze and Dyspnoea
Cough with sputum containing fungal hyphae
Bronchiectasis
Recurrent chest infections
Key tests
Blood tests show raised fungal markers, IgE, beta-d-glucan and IgG precipitins
High resolution CT shows bronchiectasis
Radioallergosorbent (RAST) aspergillus test
Management
Steroids are first line.
If poor response, antifungals (e.g., itraconazole) can be added
Aspergilloma
This is when the mould forms a fungal clump within a body cavity.
It is seen more in patients who have pre-existing lung cavities, secondary to conditions like TB, sarcoidosis or lung cancer.
Risk factors
TB
Sarcoidosis
Lung cancer
Symptoms
Asymptomatic in most people, however can resemble a lung cancer
Cough with blood, weight loss

Key tests
CXR shows lung cavity
Bloods show high titres of IgG Aspergillus Precipitins
CT shows air-crescent sign
Management
Antifungals (itraconazole, amphotericin), consider surgical excision
Invasive Aspergillosis
This occurs in people with a severe neutrophil deficiency.
The mould becomes invasive and starts to penetrate the lungs and paranasal sinuses and has a high mortality.
Risk factors
HIV
Leukhaemia
Immunosuppression
Key tests
Made by a lung biopsy
Management
Antifungals e.g. IV Voriconazole and Amphotericin
Sources
Image 1: Yale Rosen from USA / CC BY-SA (https://creativecommons.org/licenses/by-sa/2.0)


