Upper Limb Fractures
Check out these examples of upper limb fractures. Have a read of the first example where we go through how to present this plain film.
Practice with the remaining examples and click on the box to reveal the diagnosis.
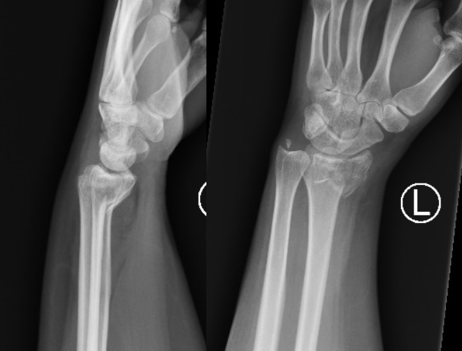
Example 1
Take a look at the following example. Let us go through how we would systematically analyse this and the diagnosis.

Analysis and Diagnosis
D – This is a … X-Ray taken on ….., of the following patient….. Is there a previous X-ray to compare to
R – Commenting first on the quality, it is not rotated, there is adequate field of view, the projection is AP and lateral and it is adequately exposed as I can see the bones clearly
“On initial inspection, there appears to be a fracture of the distal radius, but I will proceed to go through it systematically.”
B – Looking at the bones first, there is a fracture in the distal radius. It is a closed, simple, transverse fracture. There is dorsal angulation of the distal segment compared to the proximal, but no translation, rotation or shortening. There are no other fractures.
There are no obvious dislocations and the no abnormality in the texture of the bones
D – There are no degenerative changes in the joint spaces
E – There are no other man-made objects or signs of orthopaedic surgery.
In summary, this film shows a fracture of the distal radius with dorsal angulation of the distal segment. This is suggestive of a Colles’ Fracture
Diagnosis
Colles’ Fracture
Example 2

Diagnosis
Smith’s Fracture
Example 3

Diagnosis
Ulnar shaft fracture
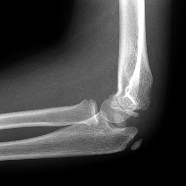
Example 4

Diagnosis
Fracture of the medial epicondyle
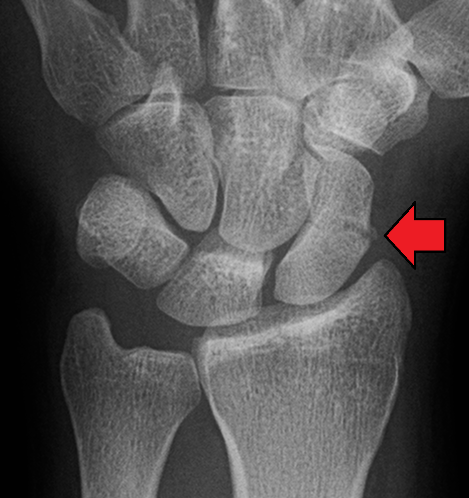
Example 5

Diagnosis
Scaphoid fracture
Check out the following pages to see more examples of fractures and dislocations and how you would systematically analyse the X-Rays.
Sources
Image 1: http://www.wikiradiography.net/page/File:O2ZWd9HKVfas1Jyj3Ft1lw94915.jpeg#metadata
Image 2: http://www.wikiradiography.net/page/File:HtMjrgykbN2nPZ5L2sAU6g79538.jpeg
Image 3:http://www.wikiradiography.net/page/File:EA0lEXLTtJdDnFuMNQSYuA105014.jpeg
Image 4:http://www.wikiradiography.net/page/File:WqMK8cizeUcJWc4iIEcfaQ127018.jpeg
Image 5: Gaillard, F. Left lingula consolidation. Case study, Radiopaedia.org. (accessed on 11 Oct 2022) https://doi.org/10.53347/rID-7393
Disclaimer



