Lower Limb Fractures
Check out these examples of lower limb fractures. Have a read of the first example where we go through how to present this plain film.
Practice with the remaining examples and click on the box to reveal the diagnosis.
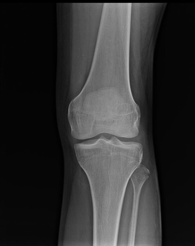
Example 1
Take a look at the following example. Let us go through how we would systematically analyse this and the diagnosis.

Analysis and Diagnosis
D – This is a … X-Ray taken on ….., of the following patient….. Is there a previous X-ray to compare to
R – Commenting first on the quality, it is not rotated, there is adequate field of view, the projection is AP and lateral and it is adequately exposed as I can see the bones clearly
“On initial inspection, there appears to be a fracture of the head of the fibula, but I will proceed to go through it systematically.”
B – Looking at the bones first, there is a fracture in the fibular head. It is a closed, simple, transverse fracture. There is no angulation of the distal segment compared to the proximal, no translation, rotation or shortening. There are no other fractures.
There are no obvious dislocations and the no abnormality in the texture of the bones
D – There are no degenerative changes in the joint spaces
E – There are no other man-made objects or signs of orthopaedic surgery.
In summary, this film shows a fracture of fibular head which is undisplaced.
Diagnosis
Fibular Head Fracture
Example 2

Diagnosis
Salter-Harris Fracture
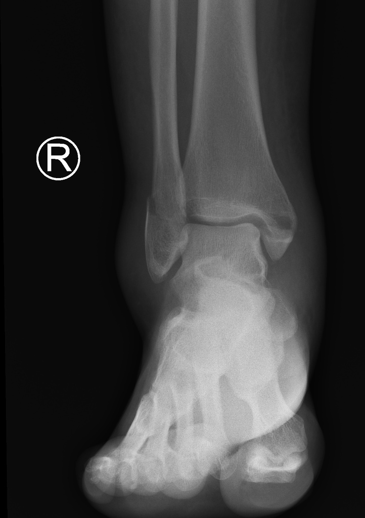
Example 3

Diagnosis
Bimaleolar fracture
Example 4

Diagnosis
Tibial Midshaft Fracture
Example 5

Diagnosis
Tibial Plateau Fracture
Check out the following pages to see more examples of fractures and dislocations and how you would systematically analyse the X-Rays.
Sources
Image 1: Patel, M. Fibular head fracture. Case study, Radiopaedia.org. https://doi.org/10.53347/rID-19493
Image 2:James Heilman, MD, CC BY-SA 3.0 <https://creativecommons.org/licenses/by-sa/3.0>, via Wikimedia Commons
Image 3: Dixon, A. Bimalleolar ankle fracture. Case study, Radiopaedia.org. https://doi.org/10.53347/rID-35590
Image 4: Sorrentino, S. Tibial midshaft fracture. Case study, Radiopaedia.org. https://doi.org/10.53347/rID-15121
Image 5:Radswiki, T., Lustosa, L. Tibial plateau fracture. Reference article, Radiopaedia.org. https://doi.org/10.53347/rID-15615
Disclaimer



