Fall in a Paediatric Patient
Try out this paediatric case and test your clinical knowledge. The answers are at the bottom.
Questions
A 16-year-old boy presents to A&E having fallen over at home. On questioning his mother reports that he has become more confused these past few months and often lashes out inappropriately.
Observations:
SpO2: 97%
Temperature: 37.2
BP: 108/69
HR: 92
RR: 30
Examination:
A: Patent. Maintaining own airway
B: NC 2L/min FiO2 21%.Chest clear, trachea central. pCXR: NAD
C: CRT 2s, HS 1+2. Bedside echo: Good LV+RV function
D: GCS 12 (E4V4M4). PEARL. BM 5.3. Rigidity bilaterally in legs. Fine tremor bilaterally.
E: Abdomen: Liver edge palpable, abdomen SNT
Q1: What are the features of the Glasgow Coma Scale (GCS) and what is its significance clinically?
Some initial bloods are taken:
| Test | Result | Reference Range |
| FBC | 138 | 135 – 180 g/l |
| WCC | 6.4 | 4 – 11 x 109/l |
| Plts | 390 | 150 – 400 x 109/l |
| Urea | 5.6 | 2 – 7 mmol/l |
| Creatinine | 110 | 55 – 120 umol/l |
| Uric Acid | 0.38 | 0.18 – 0.48 mmol/l |
| Na+ | 140 | 135 – 145 mmol/l |
| K+ | 3.7 | 3.5 – 5 mmol/l |
| ALP | 281 | 30 – 100 umol/l |
| ALT | 1002 | < 42 IU/L |
| AST | 982 | < 40 IU/L |
| GGT | 201 | < 60 IU/L |
| Bilirubin | 192 | < 21 umol/l |
| pH | 7.30 | 7.35 – 7.45 |
| HCO3 | 18 | 22 – 29 mmol/l |
| PaO2 | 16.2 | 10 – 13.3 kPa |
| PaCO2 | 2.3 | 4.7 – 6 kPa |
| Lactate | 7.1 | 0.5 – 1 mmol/l |
Q2: Comment on the blood results
An initial CT head is reported as inconclusive and thus an urgent MRI brain is performed.

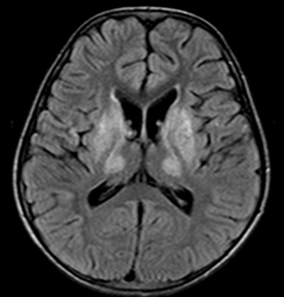
Q3: Comment on the MRI results. What is the diagnosis?
Q4: What other investigations would confirm the diagnosis?
Answers
Reveal the Answers
The GCS is a helpful tool to assess a patient’s level of consciousness. A GCS score of 8 orless is concerning clinically as at this level of consciousness there is a risk of a patient being unable to maintain their own airway. As such, most patients with a GCS score of < 8 who are at real risk of aspirating will require definitive airway management (ETT or SGA-doesn’t protect against aspiration).
| Eyes (E) | Verbal (V) | Motor (M) |
|---|---|---|
| 6- Obeys commands | ||
| 5- Orientated | 5- Localises to pain | |
| 4- Spontaneous | 4- Confused | 4- Withdraws from pain |
| 3- To speech | 3-Inappropriate words | 3- Abnormal flexion |
| 2- To pain | 2-Inappropriate sounds | 2- Abnormal extension |
| 1- No response | 1- No response | 1- No response |
The main finding on the bloods is a metabolic (lactic) acidosis, indicating tissue or organhypoxia and/ordysfunction. In this case, the organ is likely the liver, as the AST and ALT aregrossly elevated. The AST and ALT are also elevated significantly in comparison to the ALPand GGT, which suggests the pathology is within the liver itself andnot due any biliarypathology. The high respiratory rate and low pCO2 indicates a degree of respiratory compensation, but this is not enough to offset the significant metabolic acidosis
This is a FLAIR MRI (T2 weighted with CSF signal subtracted). There is hyperattenuationin both basal ganglia, which would explain his parkinsonian signs (rigidity, tremor).Combined with the liver dysfunction, the most likely diagnosis in this case is Wilson’sDisease.
Serum copper, urinarycopper,and serum ceruloplasmin can bemeasured. Kaiser-flescher rings and blue nails may also be present. The diagnosis is often confirmed withgenetic testing ofATP7B, a gene that encodes a copper transport protein.
| Serum Copper | Low |
| Urinary Copper | High |
| Serum Ceruloplasmin | Low |
Sources
Image 1: Case courtesy of Dr Paresh K Desai, Radiopaedia.org. From the case rID: 12107
University of Cambridge
About The Author
Disclaimer



