Unilateral Tinnitus and Vertigo
Try out this ENT case and test your clinical knowledge. The answers are at the bottom.
Questions
A 74-year-old man presents to the GP with a three-year history of discomfort in his left ear. He mentions that it feels like there is a sense of fullness and a ringing in his ear that doesn’t seem to ever go away. He has also found that he has needed to turn the volume up on his TV and can no longer hear people as clearly on his left side. As he walks into the consultation room he stumbles and has to hold onto the desk to steady himself for a few seconds.
Observations:
– SpO2: 98%
– Temperature: 37.1
– BP: 140/91
– HR: 87
– RR: 18
Examination:
– Otoscopy: Normal tympanic membrane, wax obscuring head of malleus
– Weber’s test with 512Hz fork: Sound heard loudest in the right ear
– Rinne’s test with 512 Hz fork: Positive on both the left and right sides
– Romberg’s test: Positive
A medical student sitting in with the GP asks if she can perform a cranial nerve examination to practice for her upcoming OSCE:
Cranial Nerves:
– Pupillary reflexes normal
– Visual acuity 16/20 on both L and R side
– Corneal reflex absent
– Left-sided complete facial droop
Q1: What is the differential diagnosis for his initial presentation?
Q2: Comment on the observation and examination findings – where is the likely pathology?
Q3: How should the GP manage this patient?
The GP manages the patient appropriately and further investigations are performed as shown below
MRI Brain:

Q4: Comment on the result – what is the diagnosis?
Answers
Reveal the answers
The man’s main symptoms from his initial presentation are:
– Unilateral aural fullness
– Unilateral tinnitus
– Hearing loss, apparently worse on the L side
– Vertigo
Important differentials would include:
– Meniere’s disease – a good differential given his aural fullness; however, this tends to be episodic lasting several hours whereas his discomfort is continuous and unremitting.
– Ear wax – a good differential for hearing loss, and just based on his initial presentation a very likely candidate
– BPPV – usually gives very short episodic bursts of vertigo, so unlikely to be the main issue in this case
– Presbycusis – usually bilateral and does not give vertigo or aural fullness
– Vestibular neuronitis – usually pyrexic, short time frame and no evidence of hearing loss
– Otitis media or externa – no features of infection, normal tympanic membrane and no pinna tenderness
– Otosclerosis – normal tympanic membrane
– Paget’s disease of bone – a good differential, but with no blood results (ALP) or other orthopedic symptoms it would not be very high up on my list
– Labyrinthitis – similar to vestibular neuronitis, but with hearing loss as a prominent feature. No features of inflammation or infection in this history
– Central e.g. cerebellar stroke – unlikely due to the time frame
– Cancer – insidious onset, a very resonable differential
From the obs and exam findings, we can narrow down the list above. The obs are largely normal (Stage 1 hypertension is to be expected in a man of his age), ruling out infective pathologies e.g. otitis media/externa, vestibular neuronitis and labyrinthitis.
The presence of a normal tympanic membrane with minimal ear wax also rules out ear wax and otosclerosis as a cause of his quite severe symptoms. Weber’s and Rinne’s test point to a left sided sensorineural hearing loss (positive Rinne’s = AC > BC), and the positive Romberg’s test localizes the pathology to the vestibular system – it rules out central causes of vertigo e.g., cerebellar stroke (if the cause of the vertigo was central, Romberg’s test would not be performed as a patient would be ataxic with their eyes open).
The cranial nerve examination shows pathology of CN Va (Absent corneal reflex – mediated by CN Va nasocilliary fibres afferently and motor CN VII zygomatic fibres efferently) and the peripheral component of CN VII (central causes of CN VII damage lead to forehead sparing, as the upper part of the facial motor nucleus receives bilateral innervation from both the ipsilateral and contralateral corticobulbar tract – in our case we have forehead weakness, indicating a peripheral CN VII lesion). Finally, we have damage to CN VIII due to the sensorineural hearing loss detected earlier. As the 7th and 8th cranial nerves are closely linked, it is very likely there is pathology in CN VIII causing mass-effect on CN Va and CN VII.
Sensorineural hearing loss presenting with focal neurology (facial droop, absent corneal reflex) requires an immediate (within 24h) ENT review as per CKS guidelines.
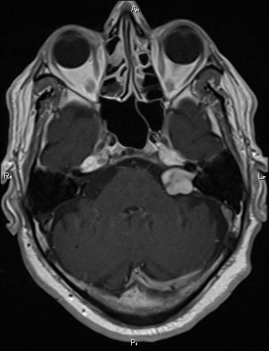
MRI
– This is an T1+c (CSF dark, white matter lighter than grey matter, contrast enhancement of mass) MRI of the cerebello-pontine angle, the gold standard investigation for this condition
– It shows a large contrast-enhancing mass at the L cerebello-pontine junction, with a tail extending into the internal acoustic meatus
Diagnosis: This is a L sided vestibular schwannoma (acoustic neuroma)
To get more information about the conditions mentioned in this case including diagnosis and management, have a look at our free neurology notes on In2Med. Written by medical students, we have pitched them just at the right level to help you ace your exams.
Sources
Image 1: https://blog.medel.pro/bone-conduction-candidacy-audiogram/
Image 2: Case courtesy of Dr Mohammad Taghi Niknejad, Radiopaedia.org, rID: 63268 https://radiopaedia.org/cases/acoustic-schwannoma-trumpeted-internal-acoustic-meatus-sign?lang=gb
University of Cambridge
About The Author
Disclaimer



