Masses and Fluid Collections
Identifying masses and collections of fluid is key in clinic and so practise this clinical skill using the images below.
Example 1
Take a look at the following example. Let us go through how we would systematically analyse this and the diagnosis.

Analysis and Diagnosis
D – This is a Chest X-Ray taken on ….., of the following patient….. Is there a previous CXR to compare to
R – Commenting first on the quality, it is not rotated, there is adequate inspiration, the projection is posterior-anterior and it is adequately exposed as I can see the vertebral bodies clearly
“On initial inspection, there appears to be increased opacification in the right middle lobe, but I will proceed to go through it systematically.”
A – Starting with the airways, the trachea is not deviated, and the carina is visible.
B – The pleural markings go all the way to the costal margin so there is no evidence of a pneumothorax. Going through the lung zones, there is increased opacification in the right middle lobe compared to the left. This opacification does not follow the contours of a lobe and has well defined edges, suggesting that it may be a mass.
C – The heart is not enlarged and the borders are visible.
D – The hemidiaphragms are clearly visible and there is no blunting of the costophrenic angles. There is no free air under the diaphragm.
E – There are no foreign objects or bone fractures.
There is no abnormality in the review areas, including the apices, behind the heart
In summary the key finding is an opacification in the left hilar region, which is suggestive of a mass.
Diagnosis
Lung Cancer
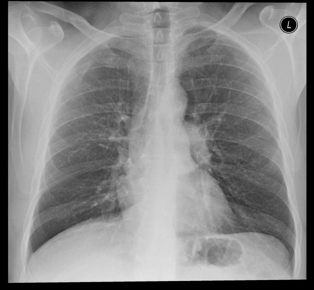
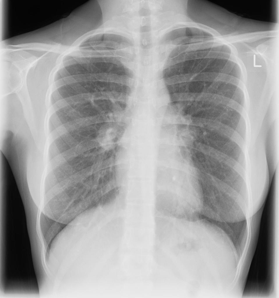
Example 2
Take a look at the following example showing consolidation. Click on the box to reveal the diagnosis.

Diagnosis
Right sided Pancoast Tumour
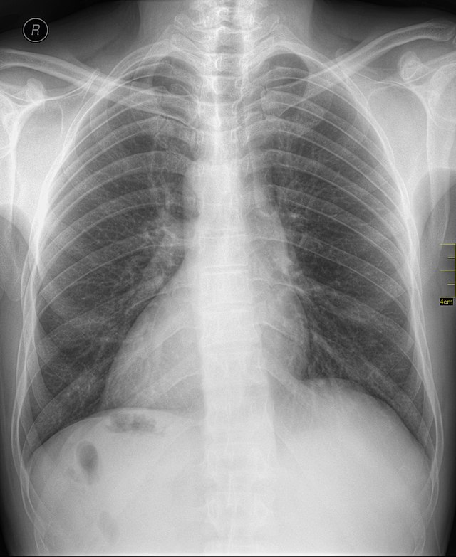
Example 3

Diagnosis
Cannonball metastases
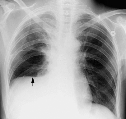
Example 4

Diagnosis
Right Sided pleural Effusion
Example 5

Diagnosis
Pulmonary Oedema
Example 6

Diagnosis
Hilar Lymphadenopathy
Example 7

Diagnosis
Situs Inversus
Check out the following pages to see more examples of common pathologies seen on Chest X-Ray.
Sources
Image 2: Bickle, I. Pancoast tumour. Case study, Radiopaedia.org. (accessed on 11 Oct 2022) https://doi.org/10.53347/rID-89868
Image 3:Case courtesy of Dr Aditya Shetty rID: 27024 https://radiopaedia.org/cases/27024/studies/27204?lang=gb&referrer=%2Farticles%2Fcannonball-metastases-lungs%3Flang%3Dgb%23image_list_item_5635055#images
Image 4:href=”http://www.med.yale.edu/intmed/cardio/imaging/cases/pleural_effusion_subpulmonic/index.html
http://www.wikiradiography.net/page/File:IpvBsE8QlmYIQTq0U67Yhg75556.jpeg
Image 5: AP portable CXR of a patient in acute pulmonary oedema. Image from Radiopaedia.org case here. Image courtesy of Dr Jeremy Jones
Image 6: Jones, J. Hilar lymphadenopathy – tuberculosis. Case study, Radiopaedia.org. (accessed on 11 Oct 2022) https://doi.org/10.53347/rID-8812
Image 7: Nevit author 640px-Situs_inversus_chest_Nevit.jpg
Disclaimer



