Acute Conditions
Take a look at these example chest X-Rays and see if you can identify the key finding. We have analysed the first one for you. Click on the green boxes to reveal the diagnosis.
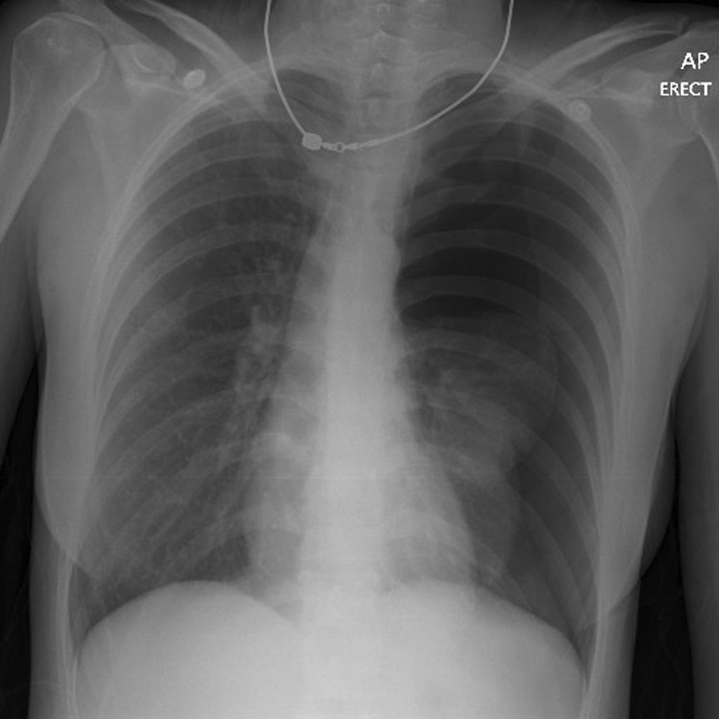
Example 1
Take a look at the following example. Let us go through how we would systematically analyse this and the diagnosis.

Analysis and Diagnosis
D – This is a Chest X-Ray taken on ….., of the following patient….. Is there a previous CXR to compare to
R – Commenting first on the quality, it is not rotated, there is adequate inspiration, the projection is posterior-anterior and it is adequately exposed as I can see the vertebral bodies clearly
“On initial inspection, there appears to be increased luceny on the left side and a central line in situ, but I will proceed to go through it systematically.”
A – Starting with the airways, the trachea is deviated to the right, and the carina is visible.
B – On the left side, the pleural markings do not go all the way to the costal margin. There is increased lucency in the left upper zone which is suggestive of a pneumothorax. There is no evidence of any consolidation.
C – The heart is not enlarged and the heart borders are clearly visible.
D – The hemidiaphragms are clearly visible and there is no blunting of the costophrenic angles. There is no free air under the diaphragm.
E – There appears to be a tunnelled line which has its tip in the right atrium.
There is no abnormality in the review areas, including the apices, behind the heart.
In summary the key finding is left sided pneumothorax.
Diagnosis
Left Sided Pneumothorax
Example 2
Take a look at the following example showing consolidation. Click on the box to reveal the diagnosis.

Diagnosis
Left sided Tension Pneumothorax
Example 3

Diagnosis
Pneumoperitoneum
Example 4

Diagnosis
Clavicle Fracture
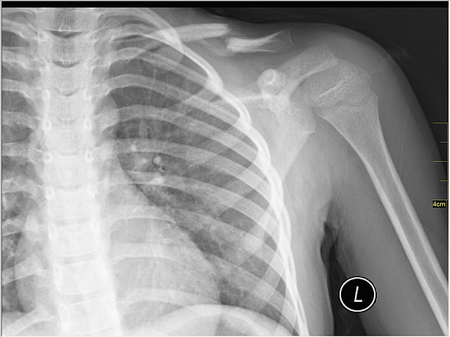
Example 5

Diagnosis
Acromioclavicular Joint Dislocation
Check out the following pages to see more examples of common pathologies seen on Chest X-Ray.
Sources
Image 2: Gaillard, F. Tension pneumothorax. Case study, Radiopaedia.org. (accessed on 11 Oct 2022) https://doi.org/10.53347/rID-10558
Image 3:640px-Pneumoperitoneum_modification.jpg author?
Image 4:Nevit Dilmen Medical X-Ray imaging FXK04 nevit.jpg
Image 5: James Heilman, MD ACseperation.png consolidation. Case study, Radiopaedia.org. (accessed on 11 Oct 2022) https://doi.org/10.53347/rID-7393
Disclaimer



