Intracranial Bleeds
Check out these examples of intracranial bleeds. See if you can identify the key finding and diagnosis.
We have analysed the first one for you. Click on the green box to reveal the diagnosis.
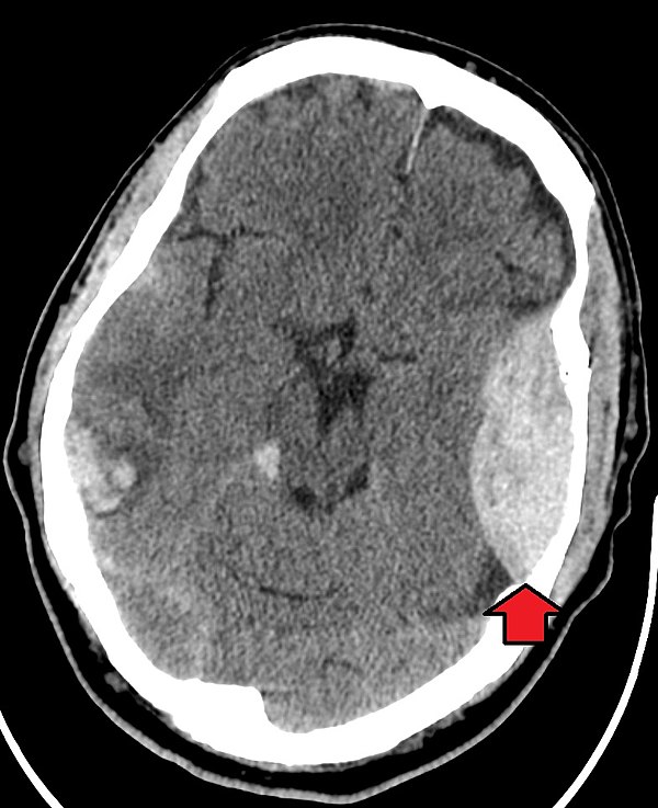
Example 1
Take a look at the following example. Let us go through how we would systematically analyse this and the diagnosis.

Analysis and Diagnosis
D – This is a CT Head taken on ….., of the following patient….. Is there a previous CT scan to compare to?
“On initial inspection, there appears to be an intracranial bleed, but I will proceed to go through it systematically.”
B – Looking at the film, there is a convex shaped density in the left side over the pterion. This is indicative of an extradural bleed.
C – The cisterns are clear and no sing of a subarachnoid haemorrhage.
B – The appears to me slight shifting of the brain tissue across the midline to the right. There is no area of hypo/hyperdensity and no obvious masses or ring-enhancing lesions.
V – The ventricles are not enlarged and there is no signs of an intraventricular bleed.
B – There appears to be damage to the skull over the left pterion.
Diagnosis
Extradural Haematoma
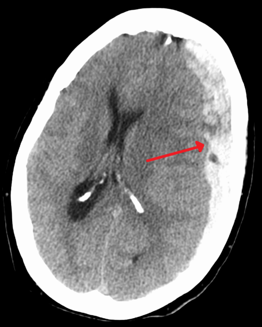
Example 2

Diagnosis
Subdural Haematoma
Example 3

Diagnosis
Subarachnoid Haemorrhage
Example 4

Diagnosis
Intracerebral Haemorrhage
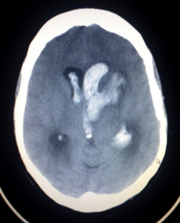
Example 5

Diagnosis
Intraventricular Haemorrhage
Check out the following pages to see more examples of common pathologies seen on CT head scans.
Sources
Image 1: http://www.wikiradiography.net/page/File:O2ZWd9HKVfas1Jyj3Ft1lw94915.jpeg#metadata
Image 2: http://www.wikiradiography.net/page/File:HtMjrgykbN2nPZ5L2sAU6g79538.jpeg
Image 3:http://www.wikiradiography.net/page/File:EA0lEXLTtJdDnFuMNQSYuA105014.jpeg
Image 4:http://www.wikiradiography.net/page/File:WqMK8cizeUcJWc4iIEcfaQ127018.jpeg
Image 5: Gaillard, F. Left lingula consolidation. Case study, Radiopaedia.org. (accessed on 11 Oct 2022) https://doi.org/10.53347/rID-7393
Disclaimer



